POP Mais nas redes sociais

O que procura?

Internet/ Influencers/ TikTok

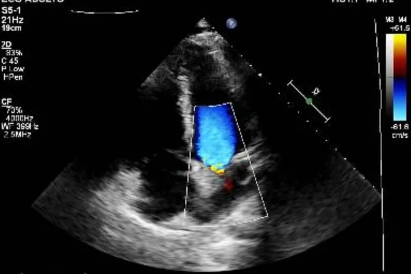
Vittor Fernando mostra bala alojada no coração após sobreviver a tentativa de assalto no Rio

Vittor Fernando mostra bala alojada no coração após sobreviver a tentativa de assalto no Rio
Reprodução

O influenciador Vittor Fernando reapareceu nas redes sociais neste sábado (25/10) para relatar momentos de terror vividos durante uma tentativa de assalto no Rio de Janeiro. O criador de conteúdo contou que foi atingido por dois tiros, sendo que um dos projéteis ficou alojado em seu coração.

“Nunca vivi dias tão assustadores… Eu vi a morte de perto, bem perto mesmo, com uma bala que entrou perto do meu peito, estilhaçou e foi parar dentro do coração”, escreveu o influenciador em uma publicação nas redes sociais.

Segundo Vittor, o ataque aconteceu na madrugada de sexta-feira (24/10), quando ele estava acompanhado do ator Gabriel Fuentes. O carro em que o casal estava foi alvo de pelo menos 13 disparos, conforme relatou o influenciador.

Em nota, a Polícia Civil do Rio de Janeiro informou que investiga o caso e não descarta a hipótese de tentativa de homicídio.

Vittor também desabafou sobre o desespero ao ver o companheiro ferido.

“A dor de ver o Gabriel sangrando com um tiro no braço… o que eu e o Gabriel fizemos pra merecer isso? Nada. Simplesmente paramos o carro, carro esse que foi baleado com mais de 13 tiros, dando perda total”, relatou.

Apesar da gravidade do ocorrido, ambos estão fora de perigo e recebem acompanhamento médico. Vittor finalizou o relato agradecendo o apoio dos fãs e afirmando que está se recuperando do trauma vivido.

Vittor Fernando mostra bala alojada no coração após sobreviver a tentativa de assalto no Rio
Reprodução/ Instagram
Vittor Fernando mostra bala alojada no coração após sobreviver a tentativa de assalto no Rio
Reprodução/ Instagram

Anúncios
Anúncios

Veja também

Fire

A Polícia Civil de São Paulo concluiu os laudos periciais referentes à morte da influenciadora Bárbara...

Internet/ Influencers/ TikTok

A influenciadora digital Isabel Veloso, de 19 anos, permanece internada na UTI do Hospital Erasto Gaertner,...

Famosos

A aparência do atacante Vini Jr. voltou a ser assunto recentemente, após uma repórter questionar Virginia...

Famosos

O influenciador digital Babal Guimarães voltou a se tornar alvo de acusações de violência doméstica. Desta...

Famosos

A modelo e apresentadora Mariana Weickert revelou nesta quinta-feira, 27, que foi diagnosticada com carcinoma basocelular...

Famosos

A atriz Dani Gondim, de 31 anos, comoveu o público no último sábado (29) ao revelar,...

Famosos

O nome de Ana Castela voltou a figurar entre os mais comentados das redes sociais nesta...

Famosos

Neste domingo (30), Ingra Soares surpreendeu ao tornar pública a decisão de encerrar seu casamento com...